重要突破!国产自拍 率先在省内成功为两例危重复杂心脏病患者开展微创二尖瓣钳夹术(MitraClip)!
2021年4月10日,国产自拍 王焱、王斌教授团队运用经皮二尖瓣钳夹系统(MitraClip)成功完成2例微创介入二尖瓣修复术。患者术前二尖瓣重度反流在术后基本消失,即刻效果显著。这是MitraClip系统国内上市后在福建省的首次临床应用。国产自拍 成为中国大陆第五家开展经皮二尖瓣钳夹术的医学中心。

案例一
患者为66岁老年男性,4个月余前因“急性心肌梗死合并二尖瓣后叶腱索断裂”出现心源性休克,在IABP支持下仍反复发作左心心力衰竭,经过急诊血运重建联合优化药物治疗后症状好转,但术后多次发作严重左心心力衰竭,超声心动图评估二尖瓣反流急性增加至极重度,左房、左室显著扩大。此次主诉“反复胸闷、气促4月余”入院。诊断:心脏瓣膜病 二尖瓣脱垂伴重度关闭不全 二尖瓣后叶腱索断裂 心功能IV级(NYHA分级) 。术前经胸超声心动图示:全心扩大,二尖瓣后叶脱垂、腱索断裂合并重度关闭不全(DMR 4+)。心脏测值:LA 45mm LVD 55mm EF% 61% PASP 82mmHg。经食管超声心动图示:二尖瓣环左右径33mm,反流束缩流颈宽度为5.5mm,EROA 0.67cm2(PISA),舒张期二尖瓣口平均跨瓣压差5mmHg。
经心脏团队讨论后认为患者目前具有干预二尖瓣的指征,然而外科开胸二尖瓣修复或置换术风险高,王焱、王斌教授团队缜密评估后决定采用MitraClip瓣膜夹系统施行经皮二尖瓣钳夹术。
患者全麻以后,在经食道超声心动图和X射线引导下,经股静脉入路,将MitraClip瓣膜夹顺利送至二尖瓣前后叶交界中心处,成功捕捉二尖瓣前叶A2和后叶P2,经超声心动图反复确认瓣叶夹持牢固后,测定有效夹持长度10.4mm,评估反流量降至轻度,释放瓣膜夹,超声心动图评估瓣膜夹位置和功能良好,测定左房压降至26/12mmHg,再次评估反流量仍为轻度,手术顺利完成。

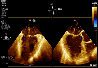
▲ 术前超声检查显示重度二尖瓣反流

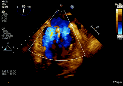
▲ 术后超声检查显示轻度二尖瓣反流

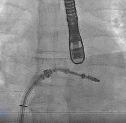
▲ MitraClip释放
案例二

患者为73岁老年男性,既往合并冠心病、持续性心房颤动、肾功能不全病史,此次主诉“反复胸闷气促3月余”入院。诊断:心脏瓣膜病 二尖瓣脱垂伴重度关闭不全 心功能Ⅲ级(NYHA分级)。术前经胸超声心动图示:左房扩大,二尖瓣前后叶冗长、P2脱垂合并重度反流(Type II类 DMR/MR4+)。心脏测值:LA 54 x 58mm,LVD 60mm,EF% 60%,PASP 36mmHg。经食管超声心动图示:二尖瓣环左右径38mm,反流束缩流颈宽度为8.5mm,EROA 0.72cm2(PISA),舒张期二尖瓣口平均跨瓣压差2mmHg。
经过充分的优化药物治疗,二尖瓣反流程度无明显改善,仍然反复出现左心衰竭相关症状体征。经心脏团队讨论后认为患者目前具有干预二尖瓣的指征,然而外科开胸二尖瓣修复或置换术风险高,为使患者尽快得到有效救治,缜密评估后决定采用MitraClip瓣膜夹系统施行经皮二尖瓣钳夹术。
王焱、王斌教授团队通过术前和台北荣民总医院(Taipei Veterans General Hospital)宋思贤教授进行了详细的讨论并制定了最优的手术策略,同时术中视频连线获得宋思贤教授的技术支持,国产自拍 超声内科苏茂龙教授负责术中超声心动图引导。患者全麻以后,在经食道超声心动图和X射线引导下,经股静脉入路,将MitraClip瓣膜夹顺利送至二尖瓣前后叶交界中心处,成功捕捉二尖瓣前叶A2和后叶P2,经超声心动图反复确认瓣叶夹持牢固后,测定有效夹持长度11mm,评估反流量降至微量,释放瓣膜夹,超声心动图评估瓣膜夹位置和功能良好,测定左房压降至11/6mmHg,再次评估反流量仍为微量,手术顺利完成。
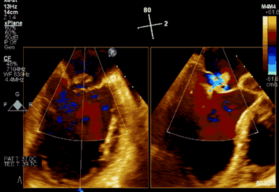
▲ 术前超声检查显示重度二尖瓣反流


▲ 术后超声检查显示轻度二尖瓣反流

▲ MitraClip释放
经皮介入操作MitraClip系统是一个被批准用于高危或者不能手术的重度二尖瓣关闭不全的患者的经导管二尖瓣装置,它在全球范围内使用超过10万例,并得到欧美国家指南的推荐(IIA类指征),具有相当的安全性。2020年,MitraClip在中国获批上市,国产自拍 结构性心脏病团队率先在福建省开展MitraClip术治疗二尖瓣重度反流,相信在不远的将来MitraClip会在临床得到更广泛的应用。
